新着情報
乱ぐい歯 叢生がキツイ症例。 ①

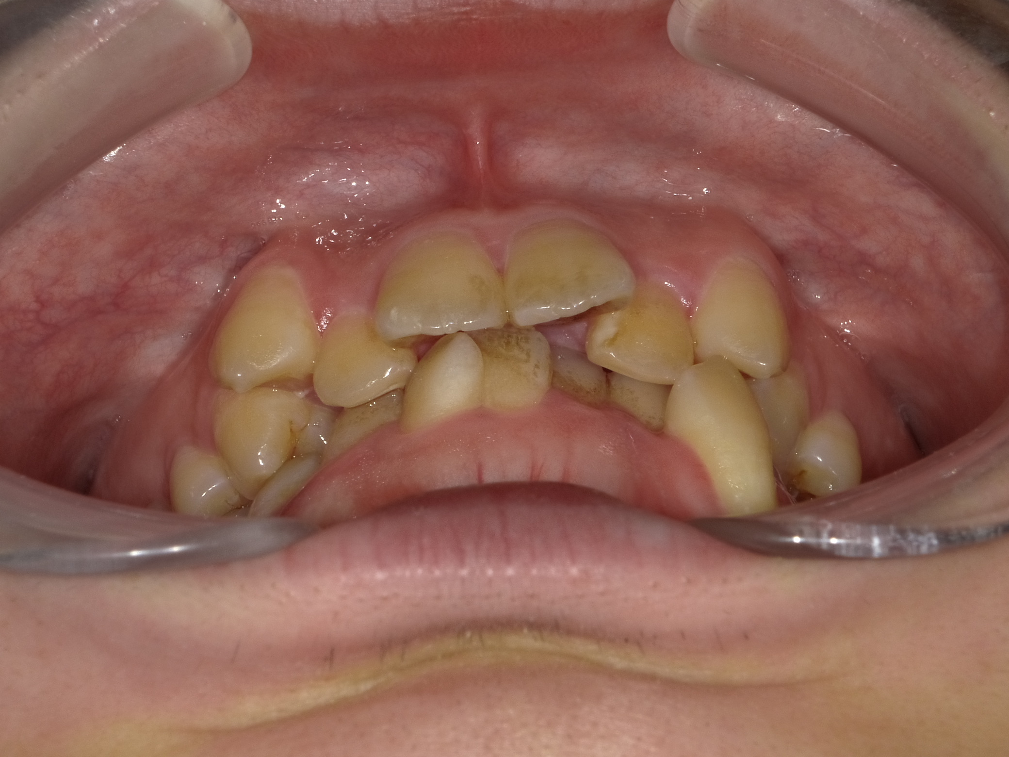
今回は20代男性。
いわゆる「乱杭歯」「重なりが強いガタガタ」の歯並びです。
正面から見るだけでも八重歯や上下の重なりが強く、特に左下の犬歯は位置のズレが大きく根っこが露出してしまっています。
「根っこが露出」=「重度の歯周病」のようなものなので、将来この部位にさらに歯周疾患が起こることで、歯の寿命が著しく短くなる可能性があります。
成人してしまうと改善はなかなか難しく、子供のころに矯正治療を行った方がよいのはこういった点も細かいですが理由になります。

下から覗くとより歯並びの窮屈感が分かります。
ここまで重なりが強いと、「見た目」うんぬんだけではなく、「噛み合わせ」「歯磨きのしやすさ」etcあらゆる面で矯正治療を行った方がプラスに働くと思います。
※矯正治療の大変さよりも今後一生続く歯磨きの大変さ、それを怠った時の歯の治療に掛かる時間・費用、最悪入れ歯の大変さを考えると、矯正をしない意味がないと言っても過言じゃないと思います。
次回は噛み合わせの面を見ていきます。
四ツ橋の歯医者・矯正歯科
「四ツ橋グリーンデンタルオフィス」
- 診療時間
-
月・水11:00~14:00/15:30~20:30
火・金*9:00~13:00/14:30~18:30
土・日10:00~15:00
休診日木曜・祝日・日曜(隔週)
*金曜(日曜診療週の前の金曜日は休診)