津久野の歯医者「クレモト歯科診療所」|症例紹介
JR津久野駅より徒歩
4
分
無料駐車場あり
平日19時まで診療
保険診療対応
NEWS
お知らせ
歯のお役立ちコンテンツ
2026.03.04
テスト投稿07:監修者情報あり
お知らせ
2026.03.04
テスト投稿06:最初の画像あり
一覧を見る
症例紹介
津久野の歯医者「クレモト歯科診療所」 TOP
お知らせ一覧
症例紹介
お知らせ
スタッフブログ
歯のお役立ちコンテンツ
症例紹介
症例紹介
2026.03.04
テスト投稿04
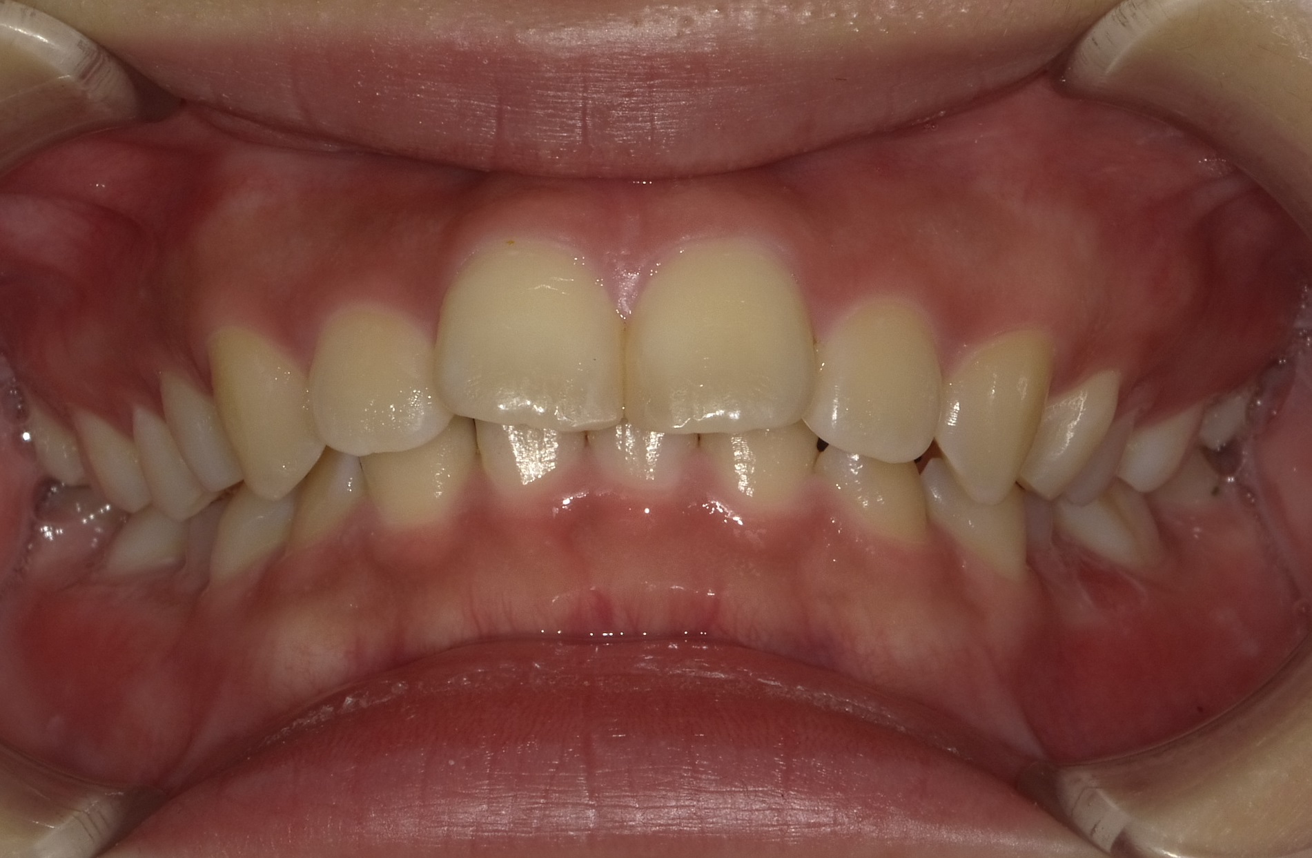
治療前
治療後
詳細はこちら
症例紹介
2026.03.04
テスト投稿03:治療前後画像なし
詳細はこちら
スタッフブログ
2026.03.04
テスト投稿02
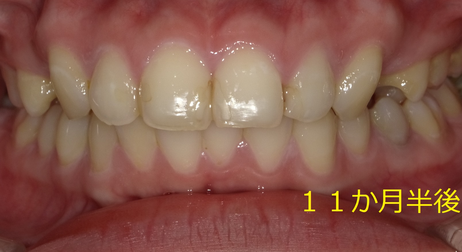
治療前
治療後
詳細はこちら
歯のお役立ちコンテンツ
2026.03.04
テスト投稿01:内容あり
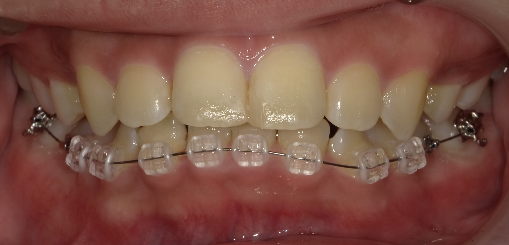
治療前
治療後
詳細はこちら
MENU
24
時間
WEB予約
TEL
急患の場合はお電話ください。
072-271-0018
TOP
TOP
医院について
ドクター・スタッフ紹介
医院情報・アクセス
コンセプト・当院の特長
セカンドオピニオンについて
料金表
お知らせ
採用情報
診療メニュー
根管治療(精密根管治療)
インプラント治療
小児歯科
小児矯正
矯正歯科
審美歯科
予防歯科
ホワイトニング
虫歯治療
歯周病治療
入れ歯治療
訪問歯科