新着情報
乱ぐい歯 叢生がキツイ症例。 ③

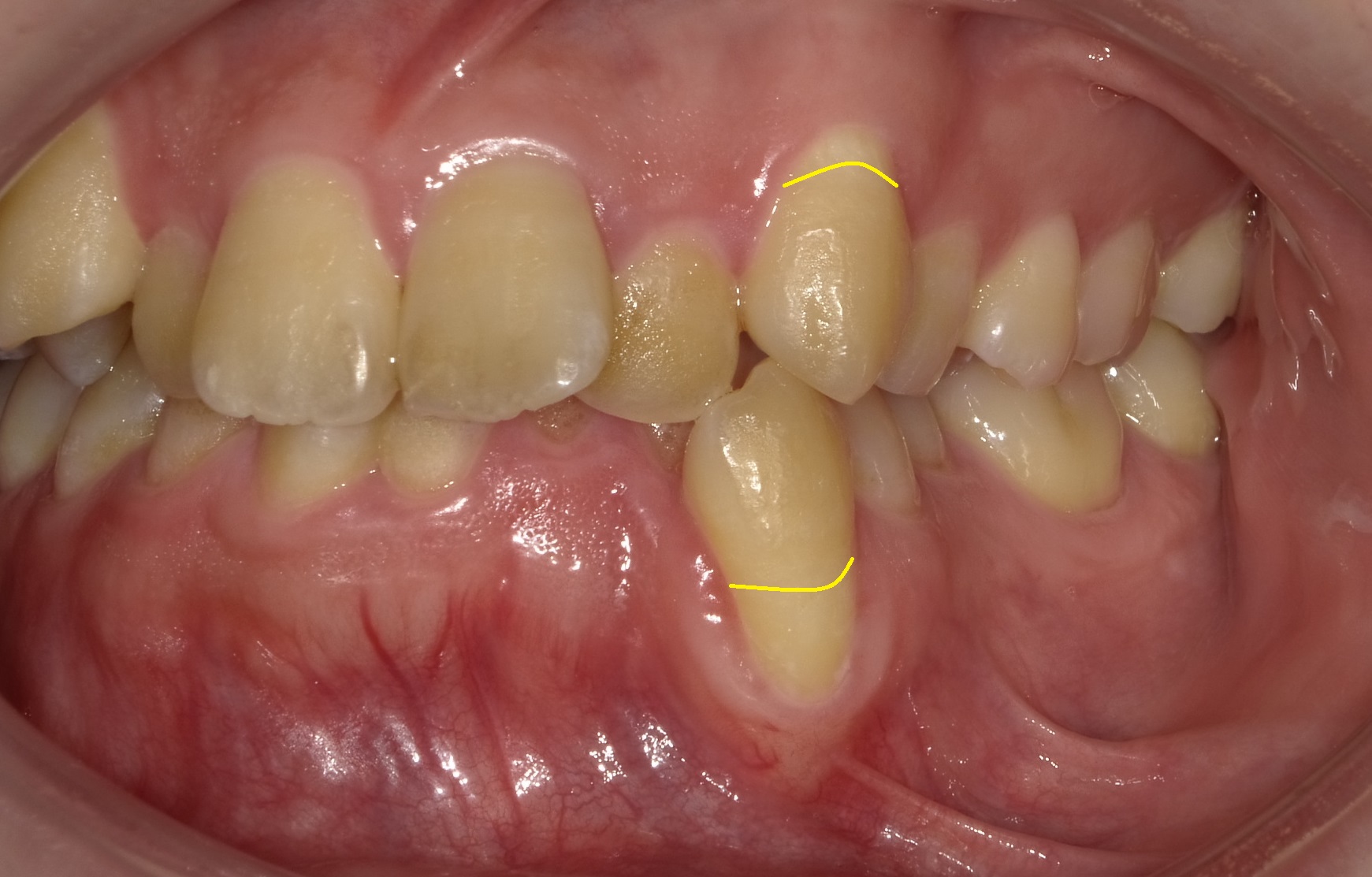
治療の際の注意点です。(前回のブログ)
骨の成長は歯の並びに影響されるため歯並びが左右非対称の人は骨のカタチも左右対称から外れます。
また骨の成長も限界があるため、あまりに歯の列から外れた歯は根っこが露出してしまいます。

上下の犬歯(八重歯)の本来の歯茎のラインを黄線で引いています。
歯の根っこには表面に歯根膜という細胞の膜が付着していますが、このように露出してしまうと死滅してしまい、結果今後歯並びが良くなっても歯茎のラインが戻ることはほぼ難しくなってしまいます。
子供の頃、歯の生えてくる段階で治療をした方がよいのはこの点も含まれます。
ただ勿論、歯並びを良くするメリットはそれ以上にありますので、矯正を始めるのに遅すぎるということはありません。
(今までの最高齢は65歳でした。年齢が上がるほど大変だとは思いますが、、)
では実際の治療計画です。(次のブログ)
四ツ橋の歯医者・矯正歯科
「四ツ橋グリーンデンタルオフィス」
- 診療時間
-
月・水11:00~14:00/15:30~20:30
火・金*9:00~13:00/14:30~18:30
土・日10:00~15:00
休診日木曜・祝日・日曜(隔週)
*金曜(日曜診療週の前の金曜日は休診)