新着情報
上顎が小さく、前歯が一本交差している症例 ④

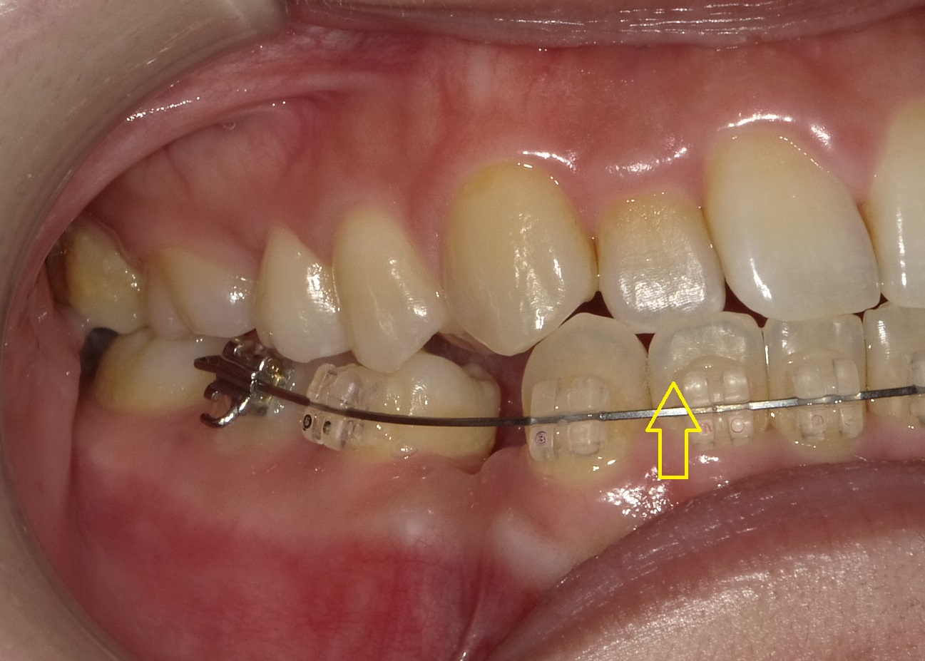
前回の状態から下の左右4番目の歯の抜歯を行っております。
写真は抜歯後2週間ほど空けて、歯茎の治りをみて、2週間ほど下の前歯を奥へと引っ張っている状態です。

矢印の交差している部分は勿論まだまだ改善はしておらず、その引っ掛かりを無視して下の前歯を後ろに引いているため、下の前歯に多少の隙間が出来ています。
あまりに引っかかっている量が多い場合は「患者さんの不快感」や「歯の摩耗」等につながるため、回避処置が必要になりますが、この程度のものであれば無視しても構わないことが多いため、無理のない程度に力を掛けて下の前歯を引っ込めていきます。
次回は前歯の交差を確認、必要であれば噛み合わせを一時的に挙げていきます。
四ツ橋の歯医者・矯正歯科
「四ツ橋グリーンデンタルオフィス」
- 診療時間
-
月・水11:00~14:00/15:30~20:30
火・金*9:00~13:00/14:30~18:30
土・日10:00~15:00
休診日木曜・祝日・日曜(隔週)
*金曜(日曜診療週の前の金曜日は休診)