新着情報
右側の交叉による咬合不全 ①

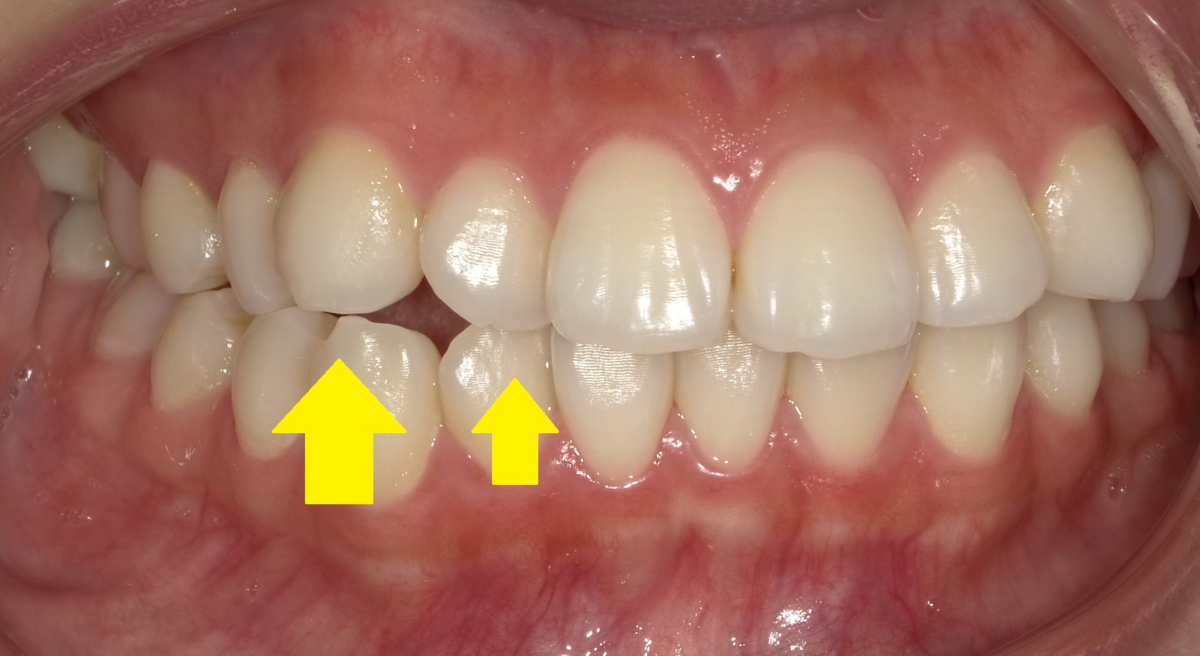
今回は右側2本の交叉による咬合不全です。
まだ20代前半と若く、噛み合わせたときに右側の2,3番目の歯に最初に下の歯が当たり(下写真?)、結果奥歯が噛めないために少し受け口になりつつ左側に回転しながら噛みこんでいきます。

そのため右の2、3番目の歯がしっかり噛み合わず隙間が生じている反面、反対側はしっかり噛んでいるように隙間がありません。

ただこの状態が続くと、より左側に噛み合わせがズレていき、かつ固定されていくため「顎関節症」や「下顎が左にズレたような顔立ちになっていく」ことが考えられるため、普通に噛み合わせようとしたときに歯が擦れる等の症状がある方は出来るだけ早めに歯医者さんに診てもらうことをお勧めします。
では実際の治療計画です。
四ツ橋の歯医者・矯正歯科
「四ツ橋グリーンデンタルオフィス」
- 診療時間
-
月・水11:00~14:00/15:30~20:30
火・金*9:00~13:00/14:30~18:30
土・日10:00~15:00
休診日木曜・祝日・日曜(隔週)
*金曜(日曜診療週の前の金曜日は休診)