新着情報
右側の交叉による咬合不全 ②

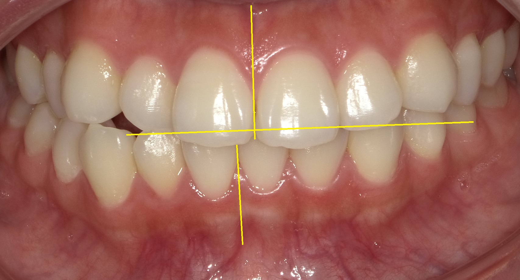
では現状です。
正面からの写真では分かり辛いのですが、噛み合わせの関係上、少し下顎を前に出す癖があり、結果写真の通り、上の歯が前に傾斜しています。
(上顎の大きさ < 下顎の大きさ のため目立ちはしていません)
そのためまずは下の歯並びを上よりも内側に動かすことをメインにしつつ、下の動きを見て上顎も移動していきます。

とにかく右上の歯が引っかかり、そこを中心として右回転を起こしているため、上の写真の通り、下の顎は右側にズレ(前歯の中心が上に比べて5mmほど右側)、噛み合わせの平面も傾いてしまっています。
この状態では骨格のレントゲン写真でもズレた状態でしか数値が出ないので、まずは右上の引っ掛かりを除去していくことが最初の目標となります。
四ツ橋の歯医者・矯正歯科
「四ツ橋グリーンデンタルオフィス」
- 診療時間
-
月・水11:00~14:00/15:30~20:30
火・金*9:00~13:00/14:30~18:30
土・日10:00~15:00
休診日木曜・祝日・日曜(隔週)
*金曜(日曜診療週の前の金曜日は休診)