新着情報
前歯の左半分が受け口の症例 ③
では実際の治療についてです。
前回のとおり「不運にも左側のかみ合わせが交差した」ことによって結果的に「上の歯並びが悪い」ので、治療としては「交差した噛み合わせを元に戻すこと」が主になります。
上の前歯が内側に倒れて、下の前歯が外側に外れることで交差が起こっているので、単純に「上を外に開く」or「下を内側に倒す」ことで噛み合わせは改善します。

基本的にはその両方を行っていくのですが、今回は費用面を考えてどちらか一方をメインに行うことにします。
簡単なのは「上の前歯を前に出す」方なのですが、上の写真の矢印部に軽度の根の露出が見られます。
=右側が前に傾斜しすぎている ということで、逆にいうと左側は言うほど内側に倒れすぎているわけではない、とも言えます。

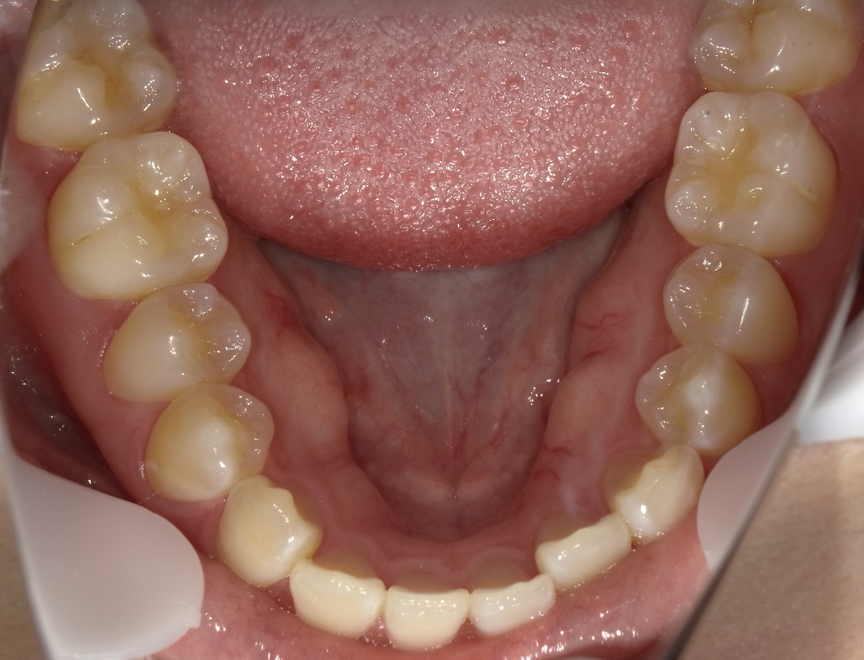
一方、下の歯を見てみると、下の親知らずが半分ほど頭を出しており上顎とは異なり、左下の前歯は通常より前に傾斜しています。
(写真上は見えませんが、少し親知らずが頭を出しています)
そのため今回は「左上の前歯が舌側に傾斜している」<「左下の前歯が前に傾斜している」ため、上の歯を治すために、下の歯を動かしていくことにしました。
治療のプランは
①下の親知らずの抜歯
②抜歯部位に奥歯を動かす(矯正用インプラント併用)
③交差を治すことで噛む力で上顎の並びが整ってくる(はず)
④足りない部分を上顎はマウスピース矯正で修正
費用は上顎のマウスピース矯正(1回3万円、3回くらい?)+下の表側の全体矯正(21万円+管理費月5400円)
上下しっかりした方が良いですが、費用面も抑えられるため一度先に交差を治してから相談することにしました。
実際の治療はこちらから。(次回のブログ)
四ツ橋の歯医者・矯正歯科
「四ツ橋グリーンデンタルオフィス」
- 診療時間
-
月・水11:00~14:00/15:30~20:30
火・金*9:00~13:00/14:30~18:30
土・日10:00~15:00
休診日木曜・祝日・日曜(隔週)
*金曜(日曜診療週の前の金曜日は休診)