新着情報
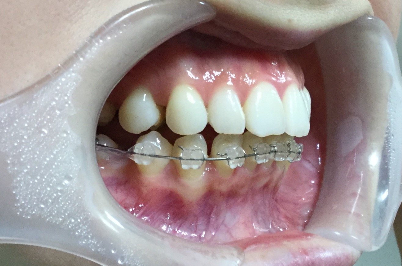
前歯2本が出ている症例(4ヶ月後)

スタートから4ヶ月が経ちました。
上顎の動きは基本的に良いのでこの頃になってくると正面からの画像はほぼ変化はわからなくなってきます。
前回の処置はこちら。
ある程度前歯が並んでくるこの時期は、前回の記述のとおりしばらくはワイヤーにそって奥歯が並ぶのを待つ必要があります。
そのためスペースを調整するくらいで大きな処置は行いません。

横からの写真の方が並んできているカンジが見て取れます。
比較的動きが良かったためだいぶ横顔にも変化が出てきています。
(プライベート確保のため拡大してますので画像が粗いです)

Eライン(鼻の先端と顎の先端を結んだ線上に唇の最先端が沿うのが横顔の理想と言われています。)の写真の比較です。
下の前歯は並べただけなので下唇の位置はほぼ変わりませんが、上唇は2mmほど引っ込んできているのが分かります。
次は顎のラインの比較です。

咬み合せを挙げたことで顔に埋もれていた顎の骨が顔の表面に出てきて、ラインがしっかりしてきているのが分かります。
審美に関しては、人それぞれ好みがあるため一概にそれが良い訳ではないと思いますが、一般的にバランスが良いことが=見た目が良いと言われるため、咬み合せ・歯並びを変えていくことで効果が出てくることが多いです。
次回は3週刊後、4月下旬を予定しています。
次回の治療はこちら。
四ツ橋の歯医者・矯正歯科
「四ツ橋グリーンデンタルオフィス」
- 診療時間
-
月・水11:00~14:00/15:30~20:30
火・金*9:00~13:00/14:30~18:30
土・日10:00~15:00
休診日木曜・祝日・日曜(隔週)
*金曜(日曜診療週の前の金曜日は休診)