新着情報
抜歯スペースを使った部分矯正 その壱 ②

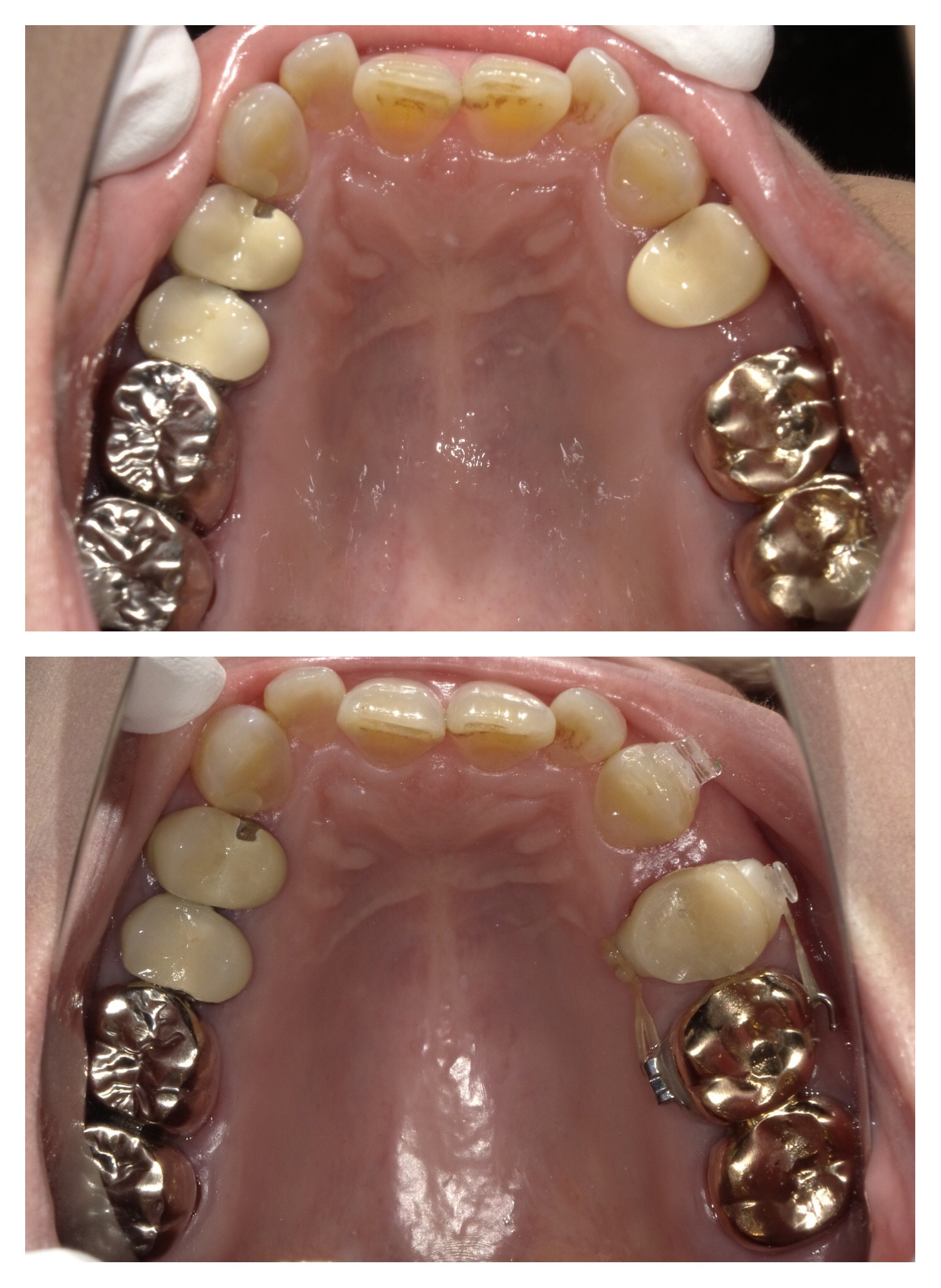
ゴムで引っ張ってから5週間ほど経ちました。
(前回の治療内容はこちら。)
その間に一回だけゴムの交換を行っています。
本来はワイヤーを入れて動きをコントロールしながら動かすのが基本になるのですが、
咬み合せが深くて器具を着けづらい+動かす量が少なく、方向もズレる可能性が低いと考え、両サイドからゴムだけを掛けることで移動を行っています。

5週間前の写真と比べると上手く④番目の歯が後ろに引っ張られてくれているのが分かります。
今回は、移動予定の④番目の歯が根っこを治療した後の仮歯の状態だったため、咬む面をツルツルにすることで咬み合せの引っ掛かりをなくし、移動しやすくしています。
(④番目の歯では噛めない状態=咬むチカラは矯正での移動には邪魔になるため動きやすい)
次は同じように③番目の歯を後ろにスライドさせて、②番目の歯の横にスペースが来るように動かしていきます。
本来なら次回前歯に器具をつけていくのですが、時期的にお正月とかぶってしまうので、動きと相談しつつ治療内容を決めていきます。
次回の来院予定はまた1ヶ月後です。
四ツ橋の歯医者・矯正歯科
「四ツ橋グリーンデンタルオフィス」
- 診療時間
-
月・水11:00~14:00/15:30~20:30
火・金*9:00~13:00/14:30~18:30
土・日10:00~15:00
休診日木曜・祝日・日曜(隔週)
*金曜(日曜診療週の前の金曜日は休診)