新着情報
結婚式に向けた矯正治療。 ③

上下矯正器具(今回も上は裏、下は表側から治療を行っていきます)を装着して2週間ほど経過しています。
写真上はまだまだ当然動いてきてるのは分かりませんが、実際は0.8mmほど削った抜く予定の歯の側面のスペースが半分以下に狭まってきているので少しずつ変化はしています。

スタート時との比較写真です。
これでもまだまだ変化は分かりませんが、大きく異なるのが下の前歯の見え方です。
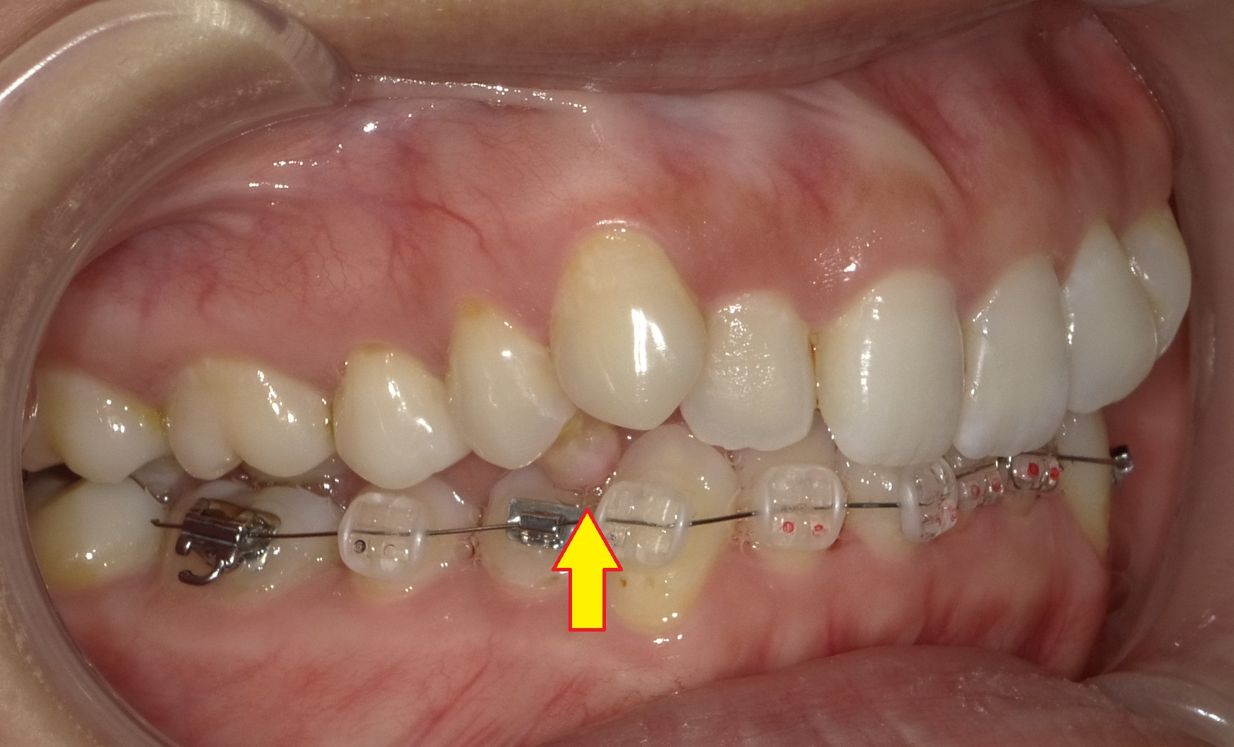
元々のかみ合わせが深く、噛んだときに下の歯がほとんど見えない状態を改善すべく+単純に矯正器具を着けるために、抜く予定の歯のかみ合わせの面に樹脂製の詰め物をして、「他の歯が全く噛めない状態」にしています。

(上の写真の矢印)
正直いままでの噛み合わせが出来ないどころか、ほぼ物が噛めなくなるので患者さんはすごく大変なのですが、その分下記の効果が期待出来ます。
①矯正が早くすすむ
②噛み癖がなくなり綺麗な歯並びの噛み合わせにスムーズに移行できる
③器具をかみ合わせで外してしまうリスクが減る
1ヶ月ほどすると下の奥歯(舌側に倒れこんでいる)が立ち上がり、上の歯と噛み合ってきます。
その状態まで動いたら上の歯を抜いていきます。
次回は2週間後に歯を抜いて、さらに2週間ほどで歯茎が治ってきたタイミングで本格的に矯正をスタートさせます。
次回のブログはこちら。
四ツ橋の歯医者・矯正歯科
「四ツ橋グリーンデンタルオフィス」
- 診療時間
-
月・水11:00~14:00/15:30~20:30
火・金*9:00~13:00/14:30~18:30
土・日10:00~15:00
休診日木曜・祝日・日曜(隔週)
*金曜(日曜診療週の前の金曜日は休診)