新着情報
30代 出っ歯+八重歯の改善(1年後)

前回から一回挟んでさらに4ヶ月が経過しています。
スタートしてからちょうど一年が経過しました。
今後は地味なかみ合わせの調整が続くのですが、その一つに
「以前の噛み合わせによる歯の削れている、いない部位の調整」
が必要になってきます。
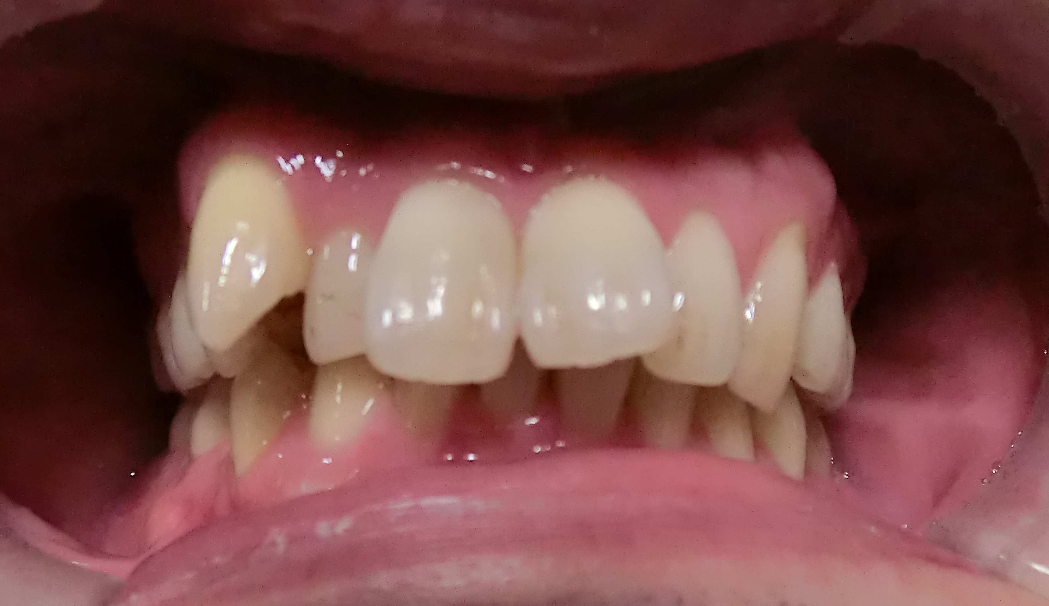
上の状態でいうと、右上の八重歯だった歯が他の歯と異なりほぼ丸々生えたての形が残ってしまっているので、周りに合わせて先端を削ってあげる必要があります。

スタート時の写真です。(カメラが古いので移り方がだいぶ違いますけど)
写真で見て分かる通り、右上は八重歯でとがっているのに対して、左上の3番目の歯は歯列に入っているので削れて先端が平らになっています。
患者さんの中には、この尖ったカンジが好みの方もいるのですが、どのみち矯正後はかみ合わせに加わることで削れていく+そもそも当たって痛いので、歯並びが整った段階で少しずつ削っていく必要があります。

横から見た4か月前との比較写真です。
下のワイヤーのしなりがマシになってきているのが分かりますが、比べないと変化は分からない程度ですし、患者さんからしたら咬み合わせが良くなったり、悪くなったりする程度のため、退屈な期間がしばらく続きます。
ブログ的にも変化がないので、次もしばらく空きます。
四ツ橋の歯医者・矯正歯科
「四ツ橋グリーンデンタルオフィス」
- 診療時間
-
月・水11:00~14:00/15:30~20:30
火・金*9:00~13:00/14:30~18:30
土・日10:00~15:00
休診日木曜・祝日・日曜(隔週)
*金曜(日曜診療週の前の金曜日は休診)