新着情報
上顎が小さく、前歯が一本交差している症例 ①

以前、ブログに書いていた「上あごが小さく、隠れ受け口タイプ」のスタッフが留学に行ってしまったので、今回は同タイプの症例を紹介します。
正面からの写真のとおり、右上の2番目の歯が噛んだ状態で下の前歯より口の内側に入ってしまっているため、全体的にかみ合わせが右にズレ、顎も右に歪んでいるように見えます。
↓顔貌写真(上顔面はトリミングしてます)

このような噛み合わせの方は、普通に噛むと右上の2番目の歯と下の歯がぶつかり奥歯が噛めないため、写真のとおり無意識のうちに下顎を右斜め前にズラして(顎をいがませて)奥歯が噛めるようなかみ合わせにしています。
また右側で噛む回数が必然的に多くなるので、下顎角(エラのとこ)に付着する筋肉の肥大が起こり、結果顎の左右差がさらに大きくなります。


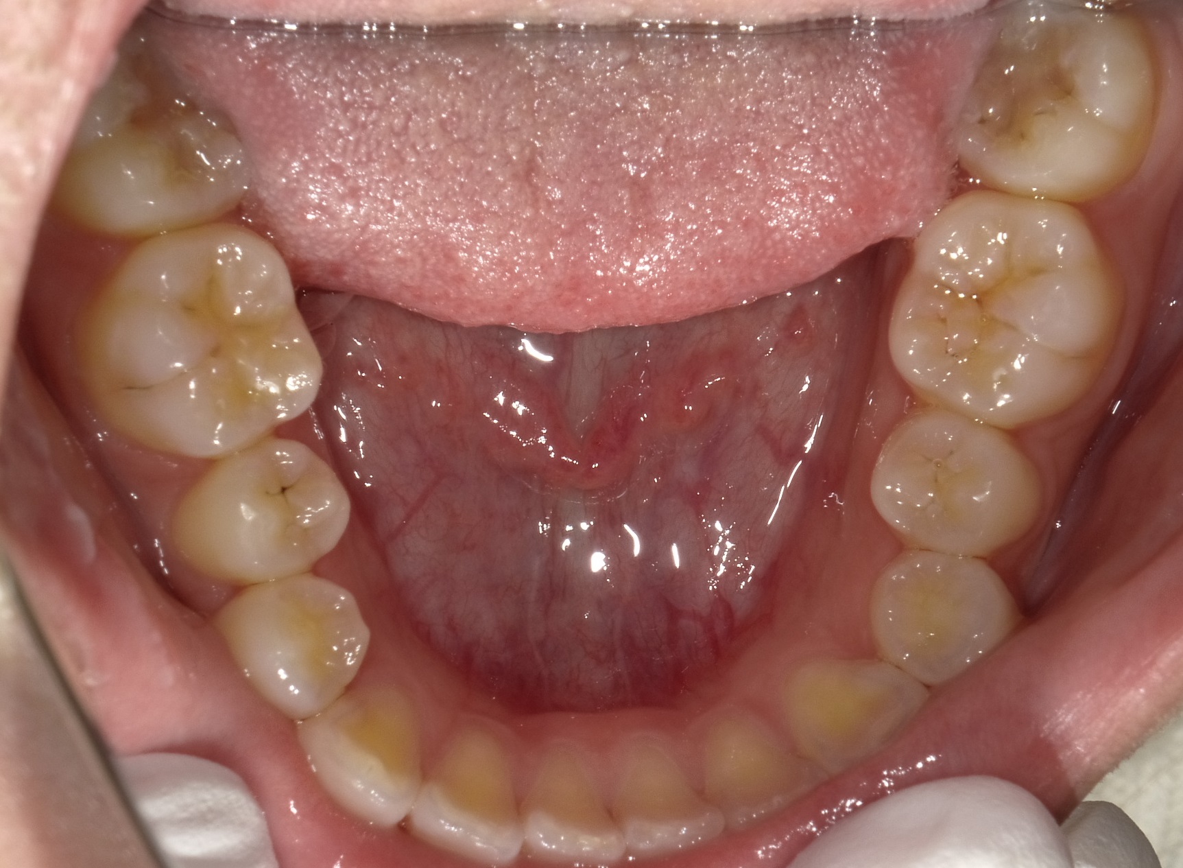
次は上下の歯列の写真です。
これだけ見ると、上は少しの並びの悪さ、下に関してはほとんど問題ないのですが、このままだと上記のとおり噛み合わせたときにお互いぶつかってしまうため、右上前歯の引っ掛かりを取り除き、歯並びおよび噛み合わせ、下顎の受け口感、左右差を治していきます。
(実際の治療計画はこちらから)
四ツ橋の歯医者・矯正歯科
「四ツ橋グリーンデンタルオフィス」
- 診療時間
-
月・水11:00~14:00/15:30~20:30
火・金*9:00~13:00/14:30~18:30
土・日10:00~15:00
休診日木曜・祝日・日曜(隔週)
*金曜(日曜診療週の前の金曜日は休診)