新着情報
八重歯および左側が噛めていない症例 ①

最近面白い症例だなと思うひとに(気分悪くされたらごめんなさい)、声を掛けまくってるので誰をどこまで書いてるのか良くわからなくなってきましたが、、今回も新たにご協力いただいています。
個人的に矯正治療が面白いなと思うのが、「歯並びは基本的に、原因がありそれが結果を呼び、その結果がまた新たな原因を作る」これの繰り返しであり、一種パズルを解くような数学的な意味合いが強い反面、それを受け取る患者さんの目的は「見た目」を主とした総括的な感情が大部分を占めます。
歯科のみならず医療全般において患者さんの満足度を第一とすると大抵「医療行為」からはかけ離れ「商売」に寄っていくのですが、如何にこちらの意図を理解していただき、患者さんの感情をこちらが読み取るか。。
悪くなったものを治す医療と違い、悪いものを良くするという「医療行為」とは少しズレる矯正治療がゆえに、医者患者双方の妥協点ともいえるゴールを設定することが難しくもあり、面白くもあるかなと思います。
面白いはダメか。
完全に話はズレましたが、今回は歯の並び(八重歯、ガタガタ)を主訴とした症例です。
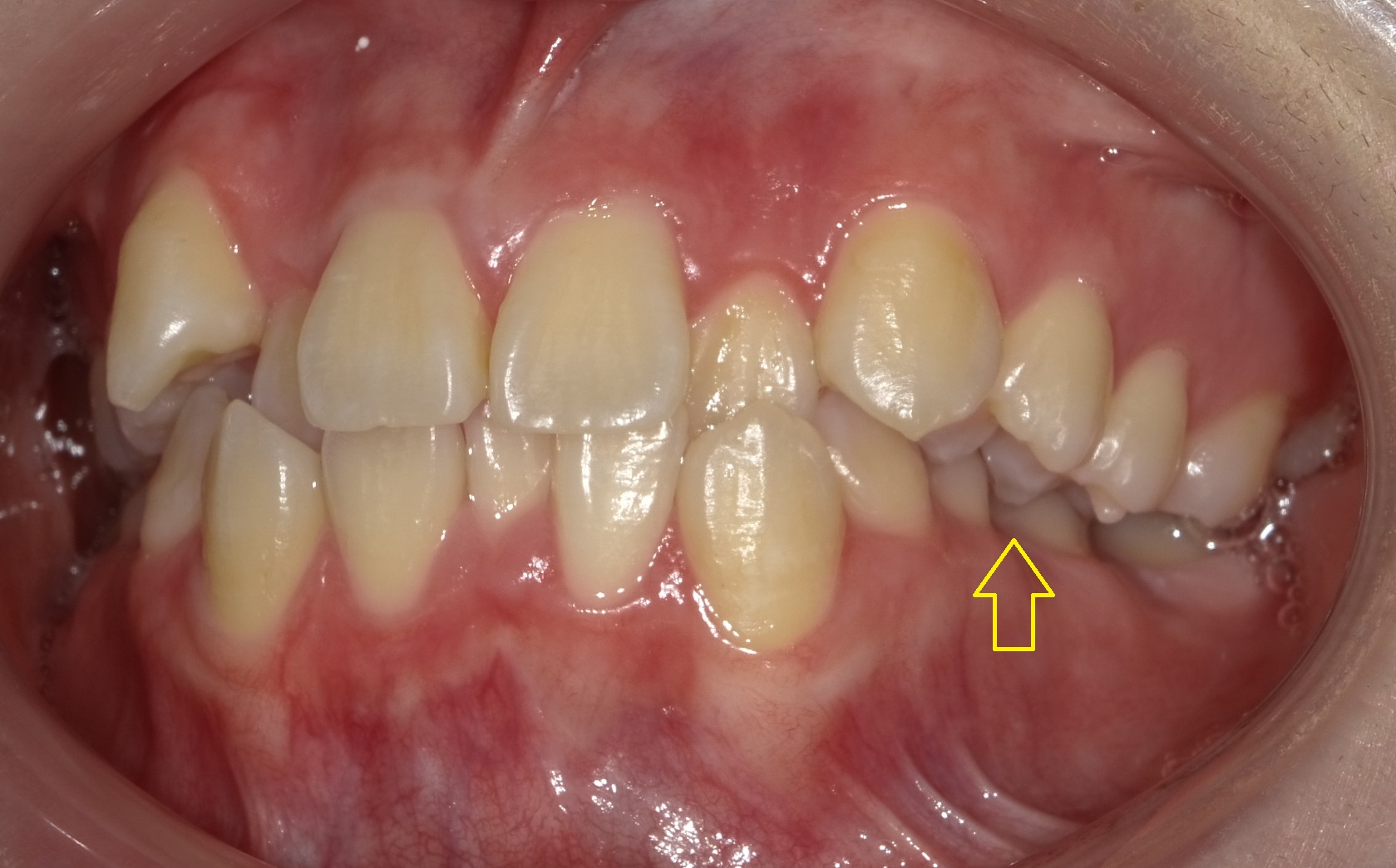
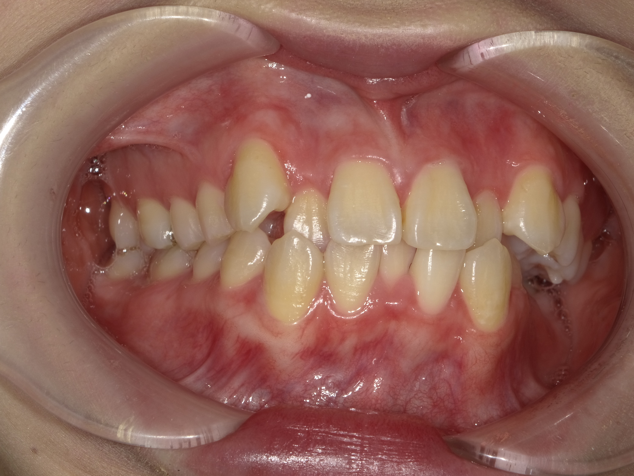
写真のとおり、①八重歯を目立ち、②上の2番目の歯が下の前歯に対して内側に傾いて、全体的にバラついているのですが、一番の問題は、

上の写真にあるとおり、左側がほぼ噛み合っていない点です。
この噛み合わせが原因で左右のバランスおよび顔の輪郭すら左右差が生じてきます。

右側の噛み合わせと比べるとその差は歴然です。
長くなったので治療計画は次に続きます。
四ツ橋の歯医者・矯正歯科
「四ツ橋グリーンデンタルオフィス」
- 診療時間
-
月・水11:00~14:00/15:30~20:30
火・金*9:00~13:00/14:30~18:30
土・日10:00~15:00
休診日木曜・祝日・日曜(隔週)
*金曜(日曜診療週の前の金曜日は休診)