新着情報
八重歯および左側が噛めていない症例 ②

前置きが長くなりましたが今回の治療計画です。
全顎的にバラツキは見られますが、大きなポイントとしては
①左のかみ合わせが出来ていない
②上の2番目の歯が内側に倒れこんでいる
③前歯が出ていて、八重歯がある
④下の前歯が一本内側に倒れこんで重なっている
歯の並び的には主な点は上記の通りですが、さらに見た目の点でいうと、右しか噛んでいない=右の咬筋が肥大し、エラが張っているように見える、+左右の顔のバランスがズレる。
といった点が挙げられます。
今回は窮屈が強いため抜歯は必要ですが、特に左下の舌側への傾斜が強いのでその立ち上げ&拡大を行いつつ、左のかみ合わせを作っていくことで全顎的なバランスをとっていきます。1

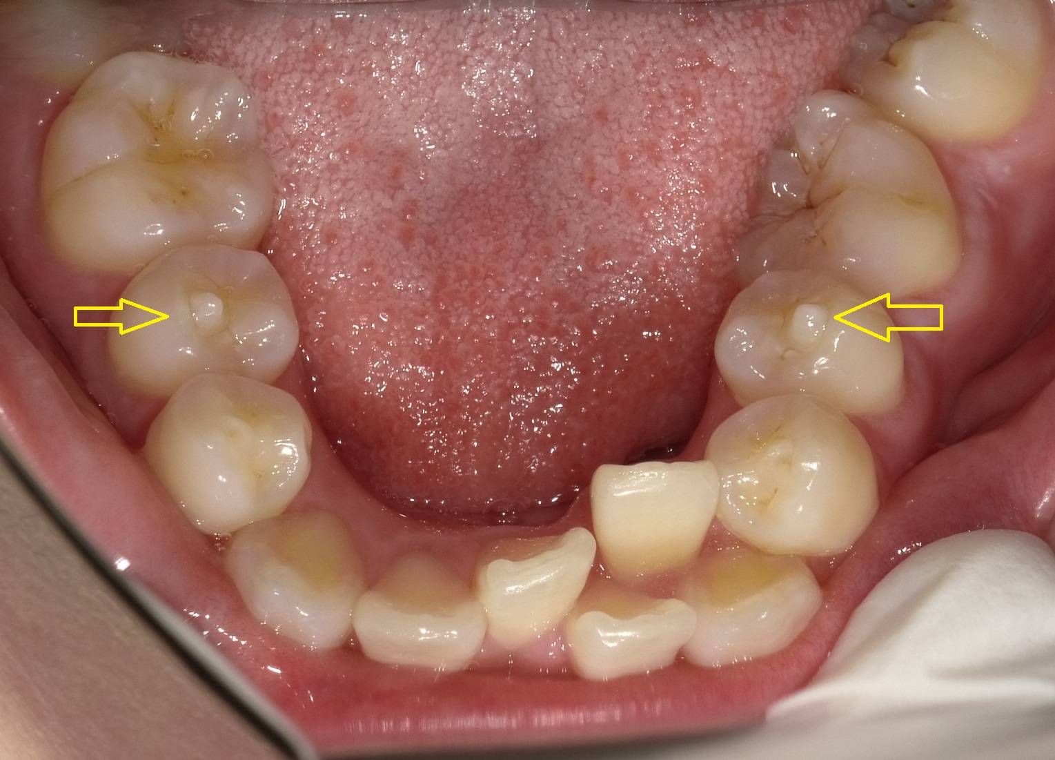
また、留意点として奥から3番目の矢印の歯の噛む面に突起があります。
これは中に神経の管が通っていることがあり、不必要に削ったり折れたりすると、神経症状が出てしまうことがあるため矯正治療で噛み合わせを作る際に過度に負担が掛からないようにする必要があります。
実際の治療はこちら。
四ツ橋の歯医者・矯正歯科
「四ツ橋グリーンデンタルオフィス」
- 診療時間
-
月・水11:00~14:00/15:30~20:30
火・金*9:00~13:00/14:30~18:30
土・日10:00~15:00
休診日木曜・祝日・日曜(隔週)
*金曜(日曜診療週の前の金曜日は休診)